
Atrophische Leberzirrhose
Leberzirrhose = Parenchymzerstörung und
bindegewebiger Umbau der Leber mit Aufhebung
der Läppchenstruktur, narbigen bindegewebigen
Faserzügen (Septen) und hyperplastischen
Regeneratknötchen
=> erhebliche Störung der
intrahepatischen Blutzirkulation
=> Erhöhung des Pfortaderdrucks
(Normalwert: 4 - 8 mmHg)
Zwei Arten bindegewebiger Septen sind häufig:
1. aktive Septen:
entstehen durch das Eindringen von Fibroblasten und
Granulationsgewebe von den Portalfeldern in die
angrenzenden Leberläppchen
2. passive Septen
bilden sich im Bereich größerer Lebernekrosen
als Narbengewebe
für Interessierte:
Entstehungsmechanismus der Zirrhose:
· massive Leberzellschäden führen zur Freisetzung
von Zytokinen, über die Kupffer - Zellen
aktiviert werden
· diese setzen selbst Wachstumsfaktoren und
Zytokine frei welche:
a) Makrophagen anlocken
b) fettspeichernde Ito - Zellen zur Umwandlung in
Myofibroblasten anregen
c) die Proliferation von Fibroblasten auslösen
=> massive Produktion extrazellulärer Matrix durch
Fibroblasten und Myofibroblasten
Übersteigt die Matrix-Produktion die
Abbaufähigkeit
durch Matrixmetalloproteinasen kommt
es zur Septenbildung.
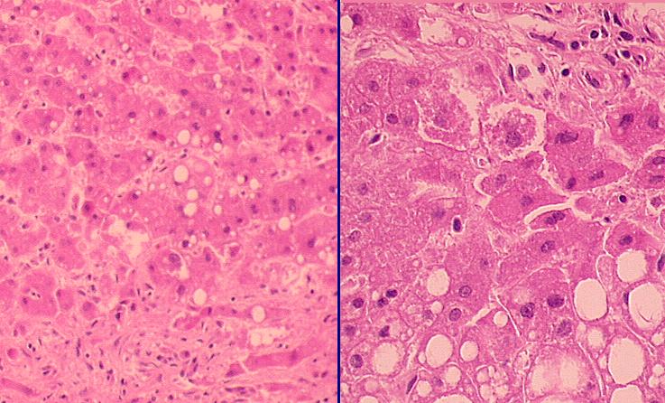
- Leberzellverfettung
(Fett im
Zytoplasma der Hepatozyten)
- mehrkernige
Hepatozyten
(als Zeichen von Regenerations-
versuchen)
- Councilman-Körperchen
(Hepatozyt nach Einzelzellnekrose)


