
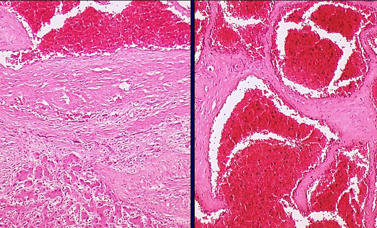
Hämangioma cavernosa
- gutartig
- v.a. bei Kindern !!!
- oft in: Leber, Haut, Milz, Niere, ZNS, Lunge
- keine spontane Rückbildung !!!
Morphologie:
- keine Kapsel
- Möglichkeit der Thrombusbildung !!!
Histologie:
- gewucherte dilatierte Hohlräume
- von Endothel ausgekleidet, zum Teil auch mit
glatter Muskulatur
- prall mit Erythrozyten gefüllt
- von kräftigen bindegewebigen Septen
durchzogen
- oft Druckatrophie des umgebenden Gewebes
- Leberzellbälkchen
- zellreiches
umgebendes Bindegewebe
(Septen)
- blutgefüllte
dickwandige
Gefäßmißbildungen mit Endothel-
auskleidung


