
Kolorektales Adenom
(= neoplastischer Polyp )
(Polyp: gr. Vielfüßler = Bezeichnung für jegliche
Vorwölbungen ins Darmlumen)
- verschiedene Dysplasiegrade
- oft Vorstufe eines kolorektalen Karzinoms
- v.a. im distalen Kolon
(60 % im Sigma - Rektum - Bereich) !!!
Nach den histologischen Typen unterteilt man
die Polypen in:
1. Adenome= Neoplasien
2. Hamartome= tumorartige Fehlbildungen
ortständigen Gewebes
3. hyperplastische und entzündliche
Polypen
z.B. bei M. Crohn oder Colitis ulcerosa
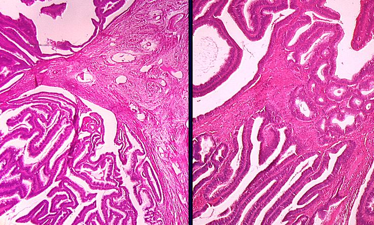
Histologie der Adenome :
- breitbasig (=sessil )
- gestielt
Formen :
~ Tubuläres Adenom 50 %
- glatte Oberfläche
- knäuelartig gewundene Kryptenschläuche
~ Villöse Adenome 15 %
- zottige Oberfläche
- hohe Entartungstendenz
- fingerförmig sich aufzweigendes Stroma mit
schleimbildendem Epithel darauf
~ Tubulovillöses Adenom 30 %
= Übergangsform von einem tubulären
in ein villöses Adenom
Therapie der Adenome:
meist:
komplette Abtragung mittels Schlinge !!!
Histologie und anschließend evtl. Kontrollendoskopie