
Kolorektales Karzinom
- zweithäufigster
Tumor des Mannes
(nach dem Bronchial Ca)
- 90 % der Fälle nach dem 50. Lebensjahr
- Lokalisation: v.a. Rektum (60 %), Sigma (20 %)
- Risikofaktoren :
+ fettreiche, ballaststoffarme Ernährung
+ Adenome (v.a. villöse oder
große tubuläre Adenome)
+ Familienanamnese
+ Colitis ulcerosa, sehr selten auch M. Crohn
+ HNPCC = hereditäres nicht polypöses
Kolonkarzinom Syndrom = Lynch - Syndrom
+ FAP = familiäre adenomatöse Polyposis
(obligate Präkanzerose)
- Formen :
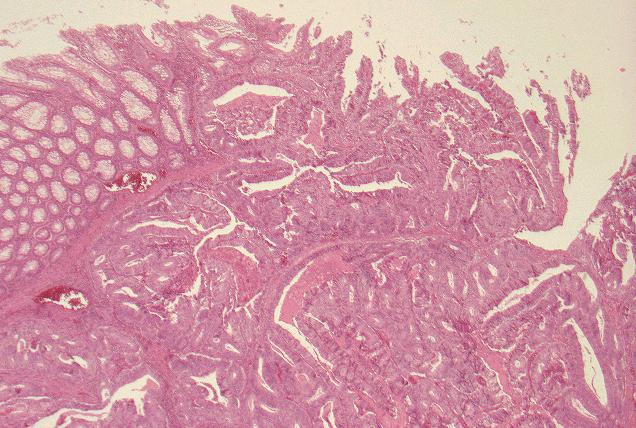
A) 95 % Adenokarzinome (siehe Bilder)
B) 10 % muzinöse Karzinome = Gallertkarzinome
(massive Schleimproduktion)
C) selten Siegelringkarzinome
( intrazelluläre Schleimansammlung )
- Einteilung nach der TNM oder Dukes -Klassifikation
- Metastasierung:
A ) lymphogen: parakolische und paraaortale
Lymphknoten; beim tiefsitzenden Rektum-Ca
auch inguinale Lymphknoten
B ) hämatogen: zuerst Leber, dann
Lunge !!!
beim tiefsitzenden Rektum-Ca
zuerst Lunge (Kavatyp)
- Adenom - Karzinom - Sequenz !!!
( = Entwicklung eines kolorektalen Karzinoms aus
einem Adenom)
" multi step model" mit:
· Verlust beider Allele von Tumorsuppressorgenen
(wie APC und p 53)
· Verlust von DNA - Methylgruppen
· Onkogenaktivierungen (z.B. K - ras)
- Dickdarmschleimhaut
- Muscularis
mucosae
- Tumorareal
(infiltrativ wachsend) mit
tubulären (= röhrenförmigen) und
villösen (=fingerförmigen) Anteilen


