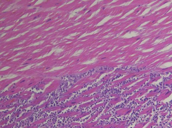
Nicht ganz frischer Myokardinfarkt
200x Vergrößerung
Koagulationsnekrose
Demarkationszone
MIKROPATHOLOGIE
MAKROPATHOLOGIE
W
E
I
T
E
R
E
V
E
R
G
R
Ö
S
S
E
R
U
N
G
E
N
>