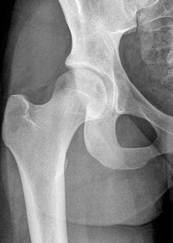
4d) Unterschiede (physiologische vs pathologisch) erkennen:


rechts: Beachten Sie die rundlichen Aufhellungen im entrundeten Femurkopf und in der Gelenkpfanne, die subchondrale Sklerosierung und den engen Gelenkspalt

 


Vergleichen Sie die linke (physiologische) Aufnahme mit der rechten (pathologischen) Aufnahme

Auflösung